Call Us (+91) 8691972825
Morn - 10:00am - 01:30pm | Eve: 05:00PM – 09:00PM
glanceclinic@gmail.com
Home
About Clinic
Doctors
Dr. Shoaib Parkar
Dr. Anjum Bagawan
Our Services
Specialists in Dental Implants
Wisdom Tooth Extraction
Minor Oral Surgery
Hair Transplant
PRP for Face & Hair
Facial Trauma Surgery
Root Canal Treatment
Aligners
Veneers
Braces Treatment
Complete Dentures
Cases
Gallery
Testimonials
Reviews
Video Testimonials
Contact Us
Cases
Home
Cases
Implant Supported Fixed Teeth
View Image
Before
View Image
After
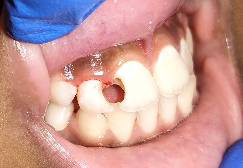
Anterior Composite restoration
View Image
Before
View Image
After
View Image
Before
View Image
After
View Image
Before
View Image
After
Treatment of Hair loss: Before
View Image
View Image
View Image
View Image
Treatment of Hair loss: After
View Image
View Image